Dicom Printing

SSPACS DICOM Printing Features:

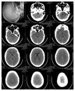
The DICOM Print Package is printing tool to perform printing of patient's diagnostics images on a DICOM printer/camera and Windows ® printer as well.

The Printing of Diagnostics images onto a Film is an important & ultimate task for completing a patient's examination with satisfactory result to give to the patients & consultants.

SAKSHAM is offering customised printing solution which gives you the high quality results on all available Wet/Dry Laser, Thermal printers and Windows ® as well with easily users configurable options.

The customised print option lets you select a suitable partition, i.e. the number of rows and columns and option to print a selective reference image to provide the precise location of scanned part.

Features and benefits

  • Supports DICOM 3.0 compliant printers

  • Customised Film Formats

  • Various Film Formats: 8X10, 10X12, 11X14, 14X14, 14X17

  • Active Zoom/Pan & window level option at the filming box.

  • Print Preview option to analyse the output before sending to the printer.

  • Selection of Reference/Localisere image& placing at desired location selection in the film before printing.

  • Supports DICOM Print Management Supports CT/MR/USG/XA/DSA/CARM etc.

  • Seamless integration with the PACS workstation minimizes the need for extra training

 

 


Micromed Healthcare & Information Solutions (c) 2012 | Piracy Policy